DEPARTAMENTO DE DIAGNOSTICO Y TRATAMIENTO DE MACULA Y RETINA
La mácula es la parte de la retina que nos permite ver los detalles con precisión. Cuando esta se daña, por lo general de manera progresiva, se afecta su función, provocando deformación de la imagen y pérdida de posición en los detalles.

El diagnóstico precoz y tratamiento adecuado puede prevenir la pérdida irreversible de la visión.
Las maculopatías más frecuentes son: la relacionada a la edad y la secundaria a la diabetes, aunque también existen enfermedades congénitas y/o hereditarias o infecciosas que pueden producir lesiones maculares.

Los estudios ha realizar comprenden los siguientes:

- Examen ocular básico
- Visión con agujero estenopeico
- Visión de colores
- Ayudas ópticas
- Campo visual monocular y binocular
- Test de Amsler
- Retinografia color (RG)
- Retinogrefia aneritra (libre de rojos)
- Retinoflouresceinigrafia (RFG)
- Angiografia con indiocianina verde (ICG)
- Tomografia de coherencia óptica tridimensional (OCT)
- Electrorretinograma

La aplicación de nuevos tratamientos con LASER y en especial drogas intraoculares permite disminuir en muchos casos las complicaciones de estas patologías, por lo que el diagnóstico precoz es de fundamental importancia al momento de tomar una decisión terapéutica.

EXAMEN OCULAR BASICO

Permite evaluar el estado general de su aparato visual.

AYUDAS OPTICAS

Una variedad de instrumentos ópticos y no ópticos que ayudan a las personas con baja visión a poder mejorar su vida diaria.

VISIÓN DE COLORES

La alteración de la misma puede ser congénita o adquirida, cuando esto ocurre nos permite orientarnos hacia un diagnóstico correcto.

VISIÓN CON AGUJERO ESTENOPEICO

Permite saber si la dificultad visual se debe a una enfermedad ocular o a un problema óptico de la macula o retina.

CAMPO VISUAL MACULAR CON SITA ULTRARAPIDO

Permite realizar un examen funcional de la mácula, campo visual monocular y binocular en mucho menos tiempo que con los anteriores campímetros.

RETINOGRAFIA COLOR (RG)

Nos da información del estado de la retina, nervio óptico y vasos permite controlar la evolución de la misma.

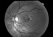
RETINOGRAFIA ANERITRA

(libres de rojos) Permite resaltar alteración del fondo de ojo.

RETINOFLUORESCEINOGRAFIA (RFG)

Por medio de la inyección de un colorante, la fluoresceína, - se resaltan las alteraciones del fondo de ojo.

ANGIOGRAFIA CON INDIOCIANINA VERDE (ICG)

Permite estudiar las capas profundas de la circulación del ojo por detrás de la retina, utilizando un colorante (off level) usado en cardiología.

AUTOFLUORESCENCIA

Permite evaluar la presencia de sustancias anórmales en ciertas patologías del fondo de ojo.


TOMOGRAFIA DE COHERENCIA OPTICA TRIDIMENSIONAL (OCT)
Es un corte óptico de la retina que permite estudiar las distintas capas de células, como lo realiza el microscopio en las preparaciones anatómicas. Es la última tecnología adquirida para estudiar la macula y la retina. Su característica tridimensional permite evaluar adecuadamente tracciones en la retina, edema, acumulación de líquidos formaciones de venas y arterias anormales y perdida de sustancias.


ELECTRORRETINOGRAMA Y POTENCIALES EVOCADOS
Permite el estudio de la función eléctrica de la retina y nervio óptico.